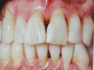
Распространенность воспалительных заболеваний пародонта — гингивита, пародонтита различной степени тяжести течения в стране очень высока, более 95%. В поликлинике накоплен опыт успешного лечения этих заболеваний и других проблем слизистой оболочки полости рта . Причины возникновения болезней пародонта сложны и многогранны. Каждый пациент должен понимать, что полное их излечение практически недостижимо, т.е. невозможно вырастить новые десны, прекратить образование зубных отложений, навсегда нормализовать обменные процессы в тканях пародонта, но вполне реально перевести заболевание в состояние стойкой ремиссии остановить развитие патологического процесса на той стадии, на которой было начато лечение. При правильной лечебно — восстановительной тактике и сотрудничестве пациента с врачом, состояние стабильности может сохраняться в течении неограниченного времени и обеспечивать сохранность зубов и нормальное их функционирование.
В нашей поликлинике есть все условия для проведения полного обследования, лечения пациентов с проблемами пародонта. Новая компьютерная программа позволяет безболезненно и одномоментно составить полную картину заболевания, оценить степень тяжести процесса. Программа позволяет оценить объём костной ткани, что немаловажно для планирования, например, дальнейшего ортопедического лечения. Консультацию самых разных специалистов стоматологического профиля наши пациенты могут получить незамедлительно. При необходимости хирургических вмешательств, операция может быть выполнена врачами — пародонтологами, хирургами ООО "Стоматологическая поликлиника". Особое место среди стоматологических заболеваний занимают болезни слизистой оболочки полости рта. Для многих заболеваний характерны общие признаки, что даёт возможность обьединить в отдельные группы. К первой группе относятся самостоятельные заболеванияслизистой оболочки полости рта и губ. Ко второй группе относятся заболевания слизистой оболочки полости рта и губ как признак общесоматических заболеваний человека. Наиболее распространены стоматиты на фоне заболеваний желудочно — кишечного тракта, заболеваний крови, эндокринной системы и других. parodontit3К третей группе относятся проявления на слизистой, как признак синдромных заболеваний (Вич инфекция, Красная волчанка, и другие ). К четвёртой группе относятся доброкачественные и злокачественные новообразования.Понимание сути заболеваний слизистой оболочки полости рта и губ, обьяснение причин их возникновения и раскрытия механизма развития является крайне важным и необходимым знанием врачей. Не занимайтесь самолечением ! Приходите к нам с Вашими проблемами, попытайтесь их решить в сотрудничестве с грамотными умелыми специалистами.

